Please Call 404-252-1216

47 Perimeter Center East Suite 160 Atlanta, GA 30346

See Our Patient TransformationsSmile Gallery

Dental Implants Before & After: Patient Transformations

Before-and-after image showcasing a dental bridge transformation, highlighting improved alignment and aesthetics of teeth, relevant to Sandy Springs Dentistry's smile gallery.

Anterior Bridge

Before-and-after comparison of dental transformation showcasing improved smile with cosmetic dentistry, highlighting teeth whitening and alignment results.

All-on-X

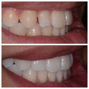
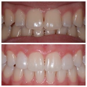
Anterior Bonding

Before-and-after image of dental bonding transformation, showcasing improved alignment and whiteness of teeth, relevant to Sandy Springs Dentistry's cosmetic dentistry services.
Before-and-after image of anterior bonding treatment showcasing improved alignment and aesthetics of upper front teeth.
Before-and-after image of dental bonding treatment, showcasing improved smile aesthetics with aligned teeth and enhanced appearance, highlighting patient transformation in cosmetic dentistry.
Before-and-after image of a teenager's smile transformation showcasing dental bonding and whitening results, highlighting improved tooth color and alignment.
Before-and-after image of anterior bonding treatment, showcasing dental restoration on front teeth with improved appearance and alignment.
Before-and-after image of anterior bonding treatment showcasing improved alignment and aesthetics of teeth, highlighting cosmetic dentistry results at Sandy Springs Dentistry.

Veneers

Before-and-after image of a patient's smile transformation showcasing cosmetic dentistry results with porcelain veneers, highlighting improved tooth alignment and brightness.
Before-and-after image of a patient's smile transformation showcasing porcelain veneers and improved dental aesthetics.
Before-and-after image of dental veneers showcasing significant improvement in tooth color and alignment, highlighting cosmetic dentistry results at Sandy Springs Dentistry.
Before-and-after image of dental veneers showcasing significant improvement in tooth appearance, highlighting cosmetic transformation for patients at Sandy Springs Dentistry.
Before-and-after image showcasing cosmetic dentistry results with porcelain veneers, highlighting improved smile aesthetics and tooth alignment.
Before-and-after image of dental veneers showcasing a transformation in tooth color and alignment, highlighting cosmetic dentistry results at Sandy Springs Dentistry.
Before-and-after image showcasing a dental transformation with porcelain veneers, highlighting improved smile aesthetics and teeth appearance.
Before-and-after image of a patient's smile transformation showcasing porcelain veneers, highlighting improved tooth alignment and brightness.
Before-and-after image of a patient's smile transformation showcasing porcelain veneers, highlighting improved tooth alignment and whitening.
Before-and-after image showcasing dental veneers transformation, highlighting improved tooth color and alignment for cosmetic dentistry results.
Before-and-after transformation of teeth, showcasing cosmetic dentistry results with porcelain veneers, highlighting improved alignment and whitening.